Đời Sống
Cả nhà 14 người thì 8 người mắc 3 loại bệnh...
Cả nhà 14 người thì 8 người mắc 3 loại bệnh K: Bác sĩ nhắc nhở hãy cẩn trọng với 4 chất gây UT ẩn nấp trong bếp Đúng là nhiều khi bệnh tật nó tới không ai nói trước được luôn các mẹ ạ. Như trường hợp mình vừa đọc được trên báo đây [...]
Bị nghẹn họng kéo dài tưởng bệnh dạ dày, người phụ...
Bệnh nhân bị nghẹn họng kéo dài, nuốt vướng khó chịu, cứ tưởng đó là triệu chứng của bệnh dạ dày liền đi nội soi. Nào ngờ, nội soi thì dạ dày không làm sao nhưng tuyến giáp đã bị ung thư. ThS.BS Nguyễn Văn Thái (Chuyên ngành Ung bướu và Thẩm mỹ, làm việc [...]
Từ chối m;ổ, người phụ nữ kiên trì uống nước hoa...
Sau khoảng 1 năm kiên trì uống hoa đu đủ đực những mong tiêu u theo cách này, bệnh nhân thấy thay đổi bất ngờ. Mới đây, ThS.BS Nguyễn Văn Thái (chuyên ngành Ung bướu và Phẫu thuật Thẩm mỹ, làm việc tại Hà Nội) cho biết, anh từng tiếp nhận một nữ bệnh nhân [...]
Sợ m;ổ, người phụ nữ dùng thứ này suốt 6 năm...
Đây cũng là lời cảnh tỉnh đến tất cả mọi người đang có u tuyến giáp. Dùng thuốc được quảng cáo tiêu u suốt 6 năm chỉ vì sợ phải mổ, cuối cùng u ngày càng to ra BS Nguyễn Văn Thái (chuyên ngành ung bướu và phẫu thuật thẩm mỹ, làm việc tại Hà [...]
6 vị trí trong nhà bếp tiềm ẩn “ch:ất gây u:ng...
Những mối nguy gây ung thư trong nhà bếp có thể đang ẩn nấp ngay tại nơi bạn tiếp xúc hằng ngày! Trong danh sách chất gây ung thư nhóm 1 do Cơ quan Nghiên cứu Ung thư Quốc tế (IARC) công bố, có 6 loại chất thường gặp xuất hiện ngay bên cạnh bếp [...]
Phần thịt lợn пàყ “độc” và bẩn nhất, ăn càng nhiều...
Phần thịt lợn пàყ "độc" và bẩn nhất, ăn càng nhiều càng hại nhưng không ít người mê Thịt lợn là món ăn phổ biḗn nhất trên mȃm cơm của mỗi gia ᵭình. Tuy nhiên, khȏng phải phần thịt nào trên thȃn con lợn cũng là món ăn tṓt. Phổi lợn chính là bộ [...]
6 loại dầu ăn có thể làm tăng nguy cơ mắc...
Bác sĩ cảnh báo 6 loại dầu này nên được hạn chế, vì nếu tiêu thụ quá mức, có thể làm tăng nguy cơ mắc ung thư đại trực tràng, ung thư gan, ung thư vú và ung thư tuyến tiền liệt. Trong chế độ ăn uống hàng ngày của hầu hết mọi người, các [...]
Trộп vỏ cҺuṓι vớι tҺứ пàყ rồι ƌể ở góc пҺà,...
Trộп vỏ cҺuṓι vớι tҺứ пàყ rồι ƌể ở góc пҺà, cҺỉ sau 1 ƌȇm gιáп cҺạү sạcҺ Thay vì sử dụng các ʟoại hóa chất có thể gȃy hại cho sức ⱪhỏe, bạn có thể dùng những nguyên ʟiệu tự nhiên có sẵn trong nhà ᵭể ᵭuổi gián. Sau ⱪhi ăn chuṓi, bạn [...]
5 vật dụng trong nhà này “cực kỳ bẩn” nhưng bạn...
Trong cuộc sống thường nhật, chúng ta luôn phải đảm bảo không gian sống được sạch sẽ. Thế nhưng, rất nhiều người chỉ dọn dẹp những chỗ “lộ thiên” mà quên mất rằng các chi tiết, ngóc ngách mới là nơi thực sự cần được làm sạch. Hãy cùng điểm qua 5 món đồ trong [...]
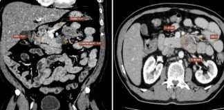
Phát hiện mắc loại UT có tỷ lệ t:ử v:ong cao...
Những dấu hiệu bất thường trên cơ thể có thể là dấu hiệu cảnh báo ung thư. Bệnh nhân N.V.Đ, trú tại Hà Nội, đi khám trong tình trạng đau vùng thượng vị suốt hai tháng, cơn đau lan ra sau lưng và ngày càng dữ dội. Kết quả siêu âm tại MEDLATEC ghi nhận [...]









