Răng ố vàng có thể là một vấn đề khó chịu, ảnh hưởng đến sự tự tin và sức khỏe miệng của bạn. Tuy nhiên, với những biện pháp làm trắng răng tự nhiên đơn giản và hiệu quả sau, bạn hoàn toàn có thể khắc phục tình trạng này ngay tại nhà.
Nếu bạn cảm thấy ngại ngùng khi đến nha sĩ hoặc không muốn sử dụng hóa chất, hãy thử ngay 5 mẹo làm trắng răng tự nhiên dưới đây – không chỉ an toàn mà còn dễ dàng thực hiện tại nhà:

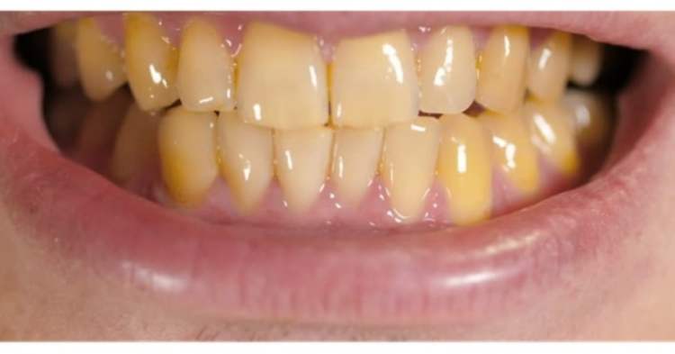
Răng ố vàng hãy làm theo 5 cách này. (Ảnh minh họa)
1. Muối
Muối có tính sát khuẩn tự nhiên và có thể giúp làm trắng răng hiệu quả.
Bạn có thể trộn muối với một ít nước để tạo thành hỗn hợp sệt, sau đó chà lên răng trong vài phút.
Thực hiện 1 – 2 lần mỗi tuần để cảm nhận sự khác biệt.
2. Trà xanh
Trà xanh không chỉ có lợi cho sức khỏe mà còn giúp làm trắng răng nhờ vào các hợp chất chống oxy hóa.
Uống trà xanh thường xuyên không chỉ giúp giữ cho hơi thở thơm mát mà còn giúp làm sáng màu răng.
3. Baking soda và chanh
Baking soda là một trong những nguyên liệu phổ biến trong việc làm trắng răng.
Hỗn hợp baking soda với nước cốt chanh tạo ra một hỗn hợp tẩy trắng tự nhiên.
Bạn chỉ cần trộn một thìa baking soda với một vài giọt nước cốt chanh, sau đó dùng bàn chải để chà hỗn hợp này lên răng.
Mua Khẩu trang Chống Tia UV UNICARE UV- Proof Mask Chất Lụa Băng Mềm Mịn Mát Thông Thoáng 👙 🩱 Tại Đây

Baking soda và chanh giúp tẩy răng trắng tinh
4. Dâu tây
Dâu tây không chỉ ngon mà còn là một lựa chọn tuyệt vời cho việc làm trắng răng.
Chất axit malic trong dâu tây giúp loại bỏ các vết ố vàng trên răng.
Bạn có thể nghiền nát dâu tây và dùng chúng như một loại kem đánh răng tự nhiên.
Chỉ cần đánh răng bằng hỗn hợp này 2 lần mỗi tuần.
5. Dầu dừa
Dầu dừa có tính kháng khuẩn cao và có thể giúp làm sạch mảng bám trên răng.
Bạn có thể thực hiện phương pháp “oil pulling” bằng cách súc miệng với một muỗng dầu dừa trong khoảng 15 – 20 phút mỗi sáng.
Hãy kiên trì thực hiện các phương pháp này và bạn sẽ sớm có được nụ cười rạng rỡ và tự tin hơn. Đừng quên kết hợp các biện pháp tự nhiên này với việc chăm sóc răng miệng đúng cách để bảo vệ sức khỏe răng miệng toàn diện.



