Bệnh nhi bị đột quỵ nhập viện vào ngày thứ 3 của bệnh với triệu chứng khởi phát là nôn ói sau ăn khoảng 3-4 lần/ngày, sau đó ói ngày càng tăng dần…
Vừa qua, các bác sĩ Khoa Hồi sức Nhiễm – Bệnh viện Nhi Đồng 1 cho biết đã tiếp nhận một trường hợp bị huyết khối tĩnh mạch nội sọ nặng do bệnh Homocystin niệu (Homocystinuria). Đây là tình trạng hình thành cục máu đông trong hệ thống tĩnh mạch dẫn lưu máu từ não. Mặc dù hiếm gặp nhưng đây là một nguyên nhân đáng chú ý gây đột quỵ ở trẻ em.
Bệnh nhi là bé nam 2,5 tuổi, nhập viện vào ngày thứ 3 của bệnh với triệu chứng khởi phát là nôn ói sau ăn khoảng 3-4 lần/ngày, sau đó ói ngày càng tăng dần.
Trước khi khởi phát bệnh, bé không sốt, không có tiền sử chấn thương đầu và chưa từng nhập viện trước đây. Sau nhập viện, bé bắt đầu xuất hiện những cơn co giật ngắn ở nửa người (T) kèm theo tri giác xấu dần, diễn tiến đến hôn mê phải đặt nội khí quản giúp thở.

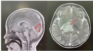
Hình ảnh huyết khối và tổn thương não trên phim MRI não của bệnh nhi. Ảnh: BVCC
Bé được chỉ định chụp CT scan sọ não cấp cứu, kết quả ghi nhận nhồi máu đồi thị (P) kèm phù não xung quanh, huyết khối lan toả tĩnh mạch vỏ não, xoang tĩnh mạch nội sọ, kéo dài đến tĩnh mạch cảnh chung (T), đường giữa lệch sang (T). Chụp cộng hưởng từ sọ não sau đó cũng ghi nhận hình ảnh nhồi máu kèm xuất huyết vùng đồi thị (P), vùng đính (P), lồi thể chai, chất trắng cạnh hai não thất bên, trung tâm bầu dục 2 bên và huyết khối tĩnh mạch nội sọ lan toả.
Kết quả xét nghiệm dịch não tuỷ trong giới hạn bình thường. Xét nghiệm sinh hóa máu cho thấy homocystin máu tăng cao rõ rệt (> 50 µmol/L), methionin tăng, vitamin B12 và acid folic trong giới hạn bình thường. Đồng thời, nồng độ homocystin trong nước tiểu cũng tăng rất cao (>600 µmol/gCreatinin). Xét nghiệm di truyền phát hiện đột biến gen CBS (cystathionine beta-synthase), thể đồng hợp tử, xác định chẩn đoán bệnh homocystin niệu.
Bệnh nhi được hồi sức tích cực bằng thở máy xâm lấn, an thần, vận mạch, chống phù não, điều trị huyết khối bằng enoxaparin tiêm dưới da liều điều trị, sau đó chuyển sang rivaroxaban đường uống. Đồng thời, bé được bắt đầu điều trị nguyên nhân bằng pyridoxin liều cao kết hợp với folate và vitamin B12. Chế độ ăn giảm methionin được triển khai với sự tư vấn của các bác sĩ dinh dưỡng.
Sau hơn 2 tuần điều trị, bé tỉnh dần, được cai máy thở, tình trạng yếu nửa người trái cải thiện dần. Trẻ được xuất viện sau 5 tuần trong tình trạng tỉnh táo hoàn toàn, còn yếu nhẹ tay trái. Trong thời gian tới, trẻ sẽ theo kế hoạch điều trị và theo dõi dài hạn tại chuyên khoa di truyền – chuyển hóa và phục hồi chức năng thần kinh.
Đây là một trường hợp huyết khối tĩnh mạch nội sọ do nguyên nhân rất hiếm gặp ở trẻ em, việc chẩn đoán sớm và điều trị kịp thời là yếu tố quyết định đến tiên lượng thần kinh lâu dài của trẻ.
Mua Combo 2 quần đùi nam thể thao Guzado 🩲🩱👘🥻👗 Tại Đây
Ở trường hợp này, nhờ vào hướng tiếp cận chẩn đoán hợp lý, hồi sức thần kinh tích cực và điều trị nguyên nhân kịp thời, kết cục điều trị của bệnh nhi là rất khả quan. Ngoài ra, việc phối hợp đa chuyên khoa trong điều trị cũng có vai trò quan trọng, quyết định sự thành công trong điều trị bệnh nhi này.



